大津市・膳所で歯科・歯医者をお探しなら

〒520-0806 滋賀県大津市打出浜10-6

JR東海道本線「膳所駅」・京阪「膳所駅」より徒歩7分、京阪「石場駅」より徒歩5分
駐車場:7台完備

診療時間
9:30~13:00
14:30~18:00

▲:14:30~19:00(休診日:木曜・日曜・祝日)

ご予約・お問合せはこちらへ

077-527-5428

天然歯を最大限に活かす

歯を失った際の治療法は、インプラントだけではありません。当院では、患者さんのお口の状態に合わせて、人工物である「インプラント」と、ご自身の余っている歯を活用する「自家歯牙移植」を適切に使い分け、**「自分の歯で噛める喜び」**を長期間維持するための治療を行っています。

 

こちらの症例では、左下の奥歯2本を失った箇所に対し、以下の2つの異なるアプローチを行いました。

治療箇所 治療内容 メリット
奥側(第2大臼歯部) 自家歯牙移植 親知らずを移植。歯根膜(クッション)を維持でき、自然な噛み心地が得られます。
手前側(第1大臼歯部) インプラント 移植できる自歯がない箇所に。周囲の健康な歯を削ることなく、強い咬合力を支えます。

 

自家歯牙移植とインプラントを併用するメリット

  • 「第3の選択肢」の提示: インプラント、入れ歯、ブリッジに加え、「親知らずの有効活用」という選択肢を提供します。

  • 体への負担とコストの最適化: 条件が合えば、移植を行うことで人工物の使用を最小限に抑えられます。

  • 天然歯の感覚を維持: 移植した歯には「歯根膜」があるため、噛んだ時の感触が天然歯に極めて近くなります。

これから、具体的な手順を説明します。

まず、歯肉を切開・剥離し、歯槽骨を露出させます。

当院の自由診療で行う歯牙移植では、最新のテクノロジーを活用した「3Dレプリカ併用法」を採用しています。

1. CBCT(歯科用CT)による精密な3Dデータ取得

まずは、移植する親知らずの形や根の状態をCBCTで0.1mm単位まで精密にスキャンします。従来のレントゲンでは見えなかった根の複雑なカーブまで、立体的に把握することが可能です。

2. オーダーメイドの「親知らずレプリカ」を作製

スキャンしたデータをもとに、患者さんの親知らずとほぼ同じ形の「3Dレプリカ(模型)」をあらかじめ作製します。

3. 「レプリカ」を使うことで、なぜ成功率が上がるのか?

ここが最も重要なポイントです。

  • 移植歯を傷めない: 本物の歯を何度も抜き差ししてサイズを合わせる必要がありません。レプリカを使って移植スペース(骨の穴)をあらかじめ整えておくため、本物の歯は一度でスムーズに収まります。

  • 「歯根膜」の生存率アップ: 移植の成功に不可欠な「歯根膜(歯のクッション)」は、外気に触れる時間が短いほど生存率が高まります。レプリカで事前準備を済ませることで、本物の歯を抜いてから植えるまでの時間を大幅に短縮できます。

  • 精密な適合: 骨と歯の隙間を最小限に抑えることで、術後の安定が早まり、定着率(成功率)を飛躍的に高めることができます。

見出し

インプラントの埋入と同時に移植を行うことで治療期間の短期化と痛みを感じる期間も短くすることができました。

通常、別々に行うこともあるこれらの処置を一度の手術でまとめて行うことで、患者さんには大きなメリットがあります。

  1. 痛み・腫れの期間を最小限に 外科手術を一度にまとめることで、術後の痛みや腫れが出る期間をギュッと短縮。お仕事や日常生活への影響を最小限に抑えられます。

  2. 治療期間の劇的な短期化 「インプラントの定着を待ってから、次は移植……」というステップを踏まないため、お口全体の噛み合わせが完成するまでの期間を大幅に早めることができます。

  3. 心身の負担を軽減 手術への緊張や麻酔の回数も一度で済むため、精神的な負担も軽くなります。

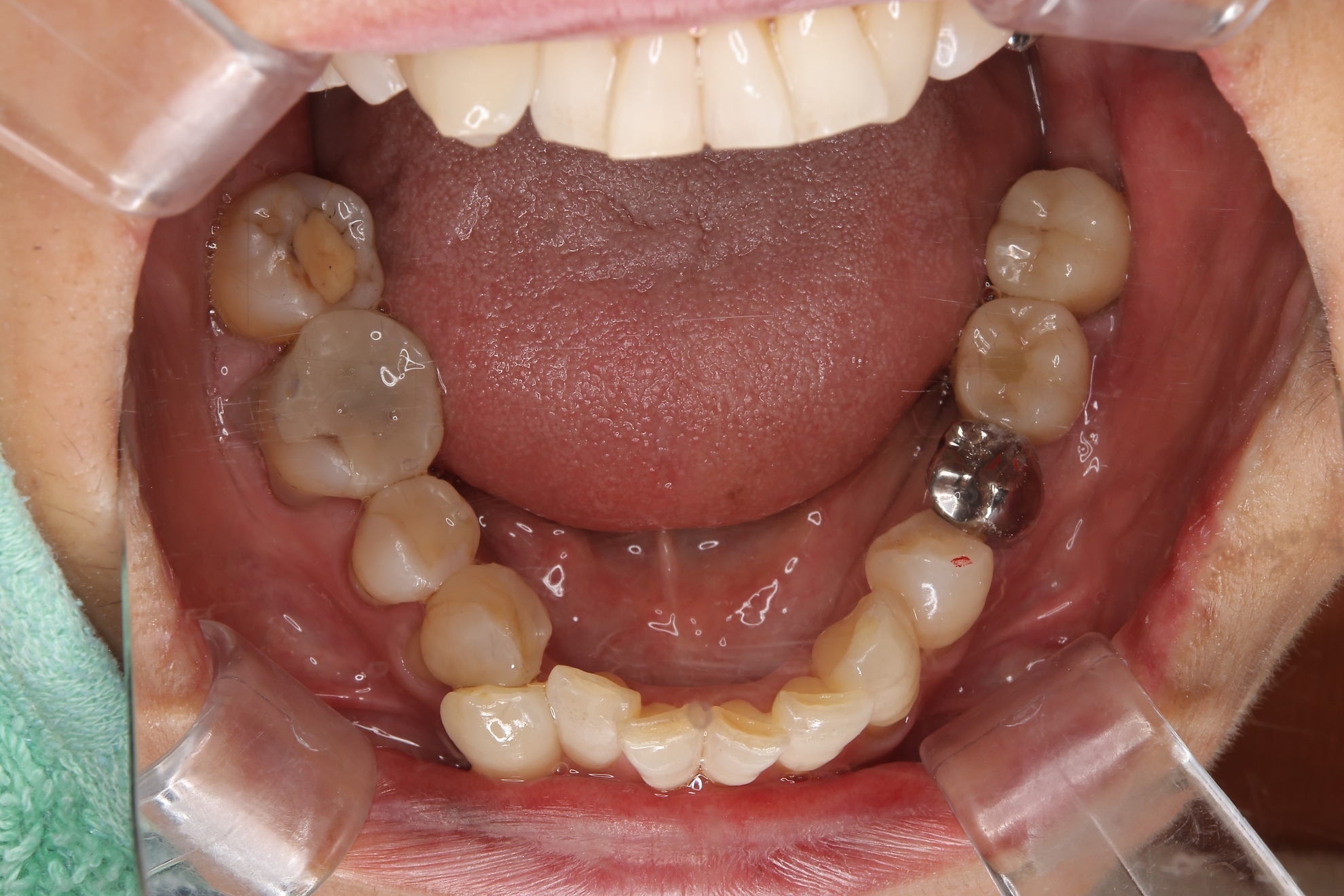
最終補綴終了後

最終補綴物が装着された状態です。

審美性と高い強度を持つジルコニアにて仕上げています。

北川歯科医院では、ご自身の歯を最大限に生かしながら、必要に応じてインプラントをはじめとするあらゆる治療方法を提示し、それぞれに合った治療を行なっています。

ご気軽にお問い合わせください。

検診・歯石取り・歯のクリーニング・フッ素塗布などもご予約いただけます。3か月先のご予約もお気軽にどうぞ。

077-527-5428

診療時間

 
午前
午後

午前:9:30~13:00
午後:14:30~18:00
▲:14:30~19:00

休診日:木曜・日曜・祝日

077-527-5428

〒520-0806
滋賀県大津市打出浜10-6
JR東海道本線「膳所駅」/京阪「膳所駅」より徒歩7分
京阪「石場駅」より徒歩5分
駐車場:7台完備

北川歯科医院では一緒に働いてくださる仲間を募集中です!